Dentists with More Than
500 5-Star Reviews

Learn Why We've Earned Them

Welcome to Lake Area Dentistry Providing Top Care to Lake Charles and Southwest Louisiana

At Lake Area Dentistry serving Greater Lake Charles, LA, our dentists offer personalized treatment plans because we understand that every individual has unique needs. Our gentle approach to dental care helps all patients feel comfortable during visits to our practice. We offer a full range of services to help our patients maintain healthy, beautiful smiles.

Lake Area Dentistry office

Our Philosophy

Throughout our history, we have provided exceptional oral care treatments to help our patients achieve and enjoy a lifetime of healthy and beautiful smiles. Before undergoing a procedure, we will first discuss your options and help you choose the most appropriate treatment based on your individual needs and goals. Rest assured, our dentists will always have your best interests at heart, and we want you to feel comfortable and confident about your care. Lastly, we accept most major insurance plans and offer financing through CareCredit® in order to make our treatments affordable to a wide range of patients.

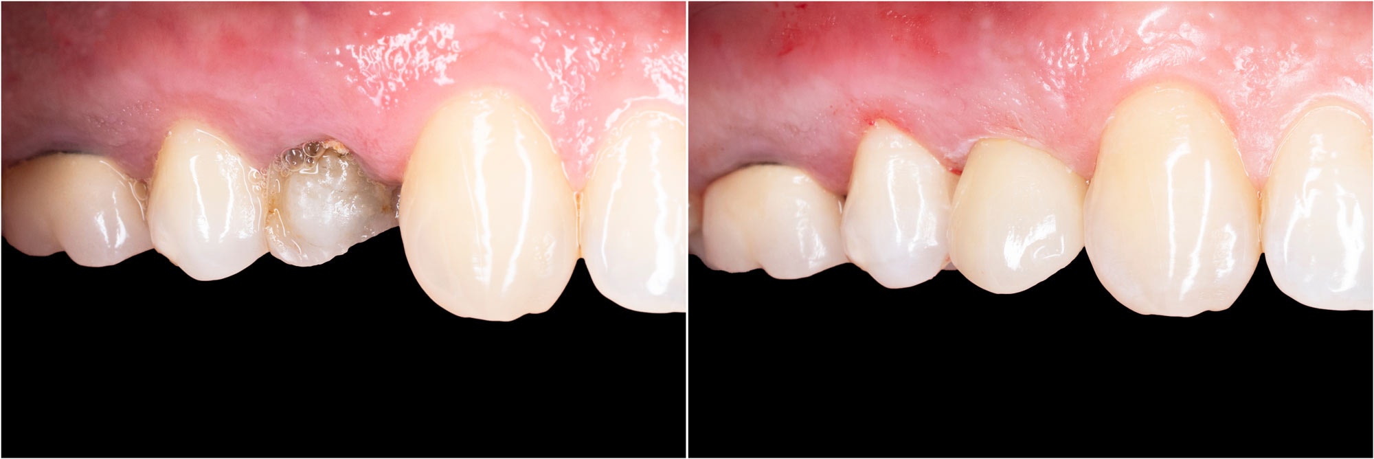
See the Incredible Results Dentistry Can Achieve

Lake Area Dentistry patient with severely damaged teeth and after treatment
If you have damaged teeth, are unhappy with a cosmetic aspect of your smile, or simply want help maintaining your dental health, don't hesitate to schedule an appointment with our dentists. We serve people from Lake Charles, Moss Bluff, Carlyss, and throughout Louisiana.

Contact  Our Practice

We invite you to schedule an appointment with our dentists for an initial exam and professional teeth cleaning. This is the first step toward maintaining, and even improving, your oral health. From there, we can educate you about your dental health, discuss any needed treatments, and address any concerns you have about costs or fear of visiting the dentist.

Are you looking for a dentist in Lake Charles, Moss Bluff, or Sulphur? Contact us online to ask a question or request a consultation at one of our offices. You can also reach us by phone at:

Read Some of Our 5-Star Google Reviews "Wonderful experience."

1

Tony Fontenot

Kinder, LA

2024

Google logo

Very professional staff!! They have always taken care of my dental problems!! Great place!!!

View on Google
1

Jessica Summitt

Lake Charles, LA

2024

Google logo

Wonderful experience. I have dental anxiety, and they approached me with ease and confidence. Very kind, helpful and thorough. Highly recommend!

View on Google

Providing Exceptional Care for the Entire Family

Meet Jeffery Hennigan, DDS

Jeffery Hennigan, DDS, was born and raised in Lake Charles, LA, where he graduated from LaGrange High School in 2003 and McNeese State University in 2007. He attended dental school at L.S.U. School of Dentistry in New Orleans where he earned his DDS degree. He then worked as a general dentist at SWLA Center for Health Services.

Dr. Hennigan is a member of the American Dental Association, the Louisiana Dental Association, the Academy of General Dentistry, and the Calcasieu Parish Dental Society, of which he once served as president.

Jeffery Hennigan, DDS



Our Professional Affiliations

American Dental Association              Louisiana Dental Association

Our Comprehensive Services

Cosmetic

Orthodontia

Periodontal

  • Gingivectomy
  • Gum Disease Treatment
  • LANAP

Restorative

General

  • Cleanings and Exams
  • Dental Sealants
  • Fluoride Treatments
  • Oral Appliance Therapy

Don't Let Fear Keep You
From Having a Healthy Smile
Our Approach to Comfortable Care

Sedation Dentistry

We want our patients to feel as comfortable as possible at our practice, which is why our dentists take a gentle approach to care and offer sedation options. With nitrous oxide and mild oral sedation, patients can feel calm during their visits with us. If you are nervous about scheduling any type of dentistry appointment, ask us how sedation can be used to alleviate your anxiety.

Advanced Tools & Same-Day Crowns

Advanced technology offers many benefits. Cone beam scanning and 3-D x-rays help us accurately diagnose dental problems so we can provide high-quality care. Our dentists also offer CEREC same-day crowns, which are more convenient for patients. Overall, the state-of-the-art technology we use enables us to provide patients with quicker, more comfortable treatment.

Schedule Your Appointment Today

Lake Area Dentistry has three convenient locations serving Lake Charles, Moss Bluff, and Carlyss, LA. Dr. Hennigan and our team of dentists look forward to providing you and your family with care that is technologically advanced and completely personalized. Whether you are in need of a routine dental examination or a more advanced treatment such as dental implants, we are here to help.

Contact Lake Area Dentistry online to request an appointment or ask a question. You can also reach us by phone:

Carlyss dental office interior

More High Praise for Our Dentistry Practice

1

Rhonda Papadimitriou

Lake Charles, LA

2024

Google logo

I needed to find my 16 year old a new dentist due to her age. I was amazed how friendly everyone was. I definitely will be moving myself to this office.

View on Google
1

Dee Gradney

Kinder, LA

2024

Google logo

love love the people

View on Google

Visit Any of Our Offices in Southwest Louisiana

We have locations easily accessible for individuals throughout DeQuincy, Sulphur, Calcasieu Parish, Allen Parish, and beyond; reach out to our dentistry team to learn more about our offices located in the following LA communities:

Carlyss office exterior

Now Open!  In Moss Bluff

/

Our previous Moss Bluff location sustained major damage during Hurricane Laura. We have opened a brand-new office in Moss Bluff, and we look forward to serving the community again. 

Paying for Treatment What Are My Options?

Dental Insurance

We work with most insurance providers. You can count on our team to check out the terms of your coverage and get as much reimbursement as possible. Before proceeding with treatment, we will notify you of any costs you are responsible for, and discuss alternative treatment solutions that may be more affordable.

Check on Your Provider

Our Membership Plan

No insurance? No problem! We offer a membership plan that shares many similarities to insurance, but often comes at a lower price point. Check out the latest details of the plan. As of 2021, the annual plan includes two professional cleanings, two regular exams, routine x-rays, an emergency visit, and a 20 percent discount on many services, among other perks. 

Dental Membership Plan

Financing

Financing may be a great option for patients who are undergoing more extensive treatment plans, such as Invisalign® or the placement of porcelain veneers or dental implants. We accept plans through CareCredit®, which is a reputable healthcare financing company. You can apply for financing online in just minutes to find out if you are eligible for any of their no- or low-interest plans.

Apply for CareCredit Financing

How to Know It's Time to Visit the Dentist

It's Been More Than Six Months

If you have gone longer than six months without seeing a dentist, plaque and tartar can accumulate and begin to penetrate the protective enamel.

You Are Experiencing Tooth Pain

If you experience tooth pain when chewing or eating hot, cold, or sweet foods, it could be an indication of a dental problem.

You Have a Chipped, Fractured, or Broken Tooth

A broken tooth is more vulnerable to bacterial infection, and the tooth should be treated as soon as possible to prevent further dental problems.

You Are Unhappy With the Appearance of Your Smile

If you are unhappy with your dental appearance due to cosmetic issues like tooth discoloration or a health issue like a missing tooth, we can help.

"My experience at Lake Area Dentistry was exceptional."

1

Dawn Racca

Lake Charles, LA

2024

Google logo

I love this office! Dr. Hennigan is so professional and friendly and he does excellent work. The hygienists, assistants and office staff are all super nice and caring. I get texts and calls before the appoinment and after checking on me. I highly recommend them if you need dental care.

View on Google
1

Steve Shirley

Lake Charles, LA

2024

Google logo

My experience at Lake Area Dentistry was exceptional. Doctor Jeff Hennigan gave explanation of my dental problem and two different resolutions. He was very knowledgeable and his work is impeccable. His dental assistant, Taylor was very knowledgeable and continued to ask if there was any questions or anything that needed to be done. The following morning I received a phone call to check in with me to see if everything was okay. You will be pleased, when you choose Lake Area Dentistry for your dental needs.

View on Google
dental consultation

Lake Area Dentistry

The dentists at our family-friendly practice use the latest technology and techniques to enhance your care. We are proud to be affiliated with the:

  • American Dental Association
  • Louisiana Dental Association

Set up your first appointment by requesting a consultation or calling our Lake Charles office at (337) 478-8470.

Contact Us Today

Rate, Review & Explore

Social Accounts Sprite